*test ex vivo di valutazione semiquantitativa del collagene totale su derma papillare dopo 5 giorni di trattamento vs. controllo non trattato (p<0.05)
Materiali e metodi del test

Campioni di pelle utilizzati per il test
Per testare l’efficacia di Liftable Rebuilding Exoserum è stata utilizzato un campione di pelle umana sana. Da questo campione si sono ottenute, tramite un puncher elettronico, delle biopsie di 6x3mm (diametro x spessore). Le biopsie sono state mantenute in coltura all’interno di supporti di acciaio medicale inossidabile in modo che la porzione di epidermide fosse esposta all’aria e il derma fosse immerso nel terreno di coltura.
Trattamento
I campioni di pelle sono stati gentilmente asciugati con un batuffolo di cotone sterile e successivamente sono stati applicati 8 mg/cm² di Liftable Exoserum sull’epidermide di ogni biopsia.
I campioni di pelle sono stati successivamente coperti con una specifica membrana di 6mm di diametro. L’applicazione è stata fatta per 24 ore al giorno ed è stata rinnovata ogni giorno, fino al termine della coltura.
Valutazione semiquantitativa del collagene totale

Esempio di area di campionamento del derma papillare (area rossa) per i marcatori del derma
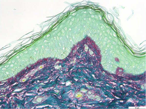
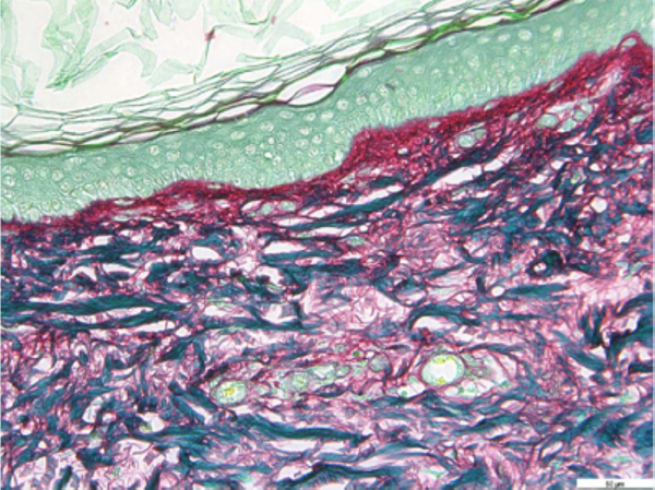
Da ogni biopsia sono state ricavate due sezioni di pelle, per un totale di dodici, e sono state poi colorate utilizzando la colorazione istomica Picrosirius Red che evidenzia con una tonalità rosso porpora le fibre di collagene.
Per la valutazione del collagene è stato selezionato il derma papillare, poiché è la regione dermica più suscettibile alle modifiche del collagene in risposta ai trattamenti. Per l’analisi di immagine è stato utilizzato un software AI sviluppato su misura, creato da Phyton, che identifica automaticamente la lamina basale che separa l’epidermide dal derma. Il software valuta l’intensità della colorazione rossa, generando un punteggio direttamente correlato al contenuto di collagene nel derma papillare. Sono state acquisite e analizzate 12 immagini per ciascun trattamento.
Analisi statistica
Per tutte le serie di dati ottenute si è calcolata la media, l’errore standard e la deviazione standard della media. La differenza è stata valutata mediante t-test con permutazioni.
Risultati
Liftable Rebuilding Face Exoserum ha aumentato in modo significativo il livello di collagene totale (+26%) rispetto al controllo non trattato.

Confronto tra controllo non trattato (a sinistra) vs. trattato con Liftable Exoserum (a destra)

Campione di pelle non trattato con Liftable Exoserum, dopo aver applicato la colorazione che evidenzia le fibre di collagene

Campione di pelle dopo 5 giorni di trattatamento con Liftable Exoserum, dopo aver applicato la colorazione che evidenzia le fibre di collagene (+26%)
Considerazioni finali
Questo dato è particolarmente rilevante perché il derma papillare è l’area più ricettiva ai processi di invecchiamento strutturale. Un aumento così rapido del collagene suggerisce:
- una stimolazione attiva dei fibroblasti;
- una migliore densità e coesione delle fibre;
- un potenziamento dell’architettura di sostegno che garantisce tonicità e resistenza allo stress meccanico.
L’incremento rapido e significativo del collagene è associato, sul piano biologico, ad alcuni effetti positivi osservabili sulla pelle già nelle settimana successive.
- Migliore resistenza alla gravità e riduzione delle rughe gravitazionali. Un’impalcatura dermica più ricca di collagene risponde meglio al cedimento gravitazionale, contribuendo a contrastare la comparsa delle linee profonde legate alla perdita di sostegno.
- Pelle visibilmente più vitale e rigenerata. Un derma più strutturato favorisce un microambiente cutaneo più attivo: migliore scambio di nutrienti, migliore comunicazione cellulare e un aspetto più tonico e uniforme.

